
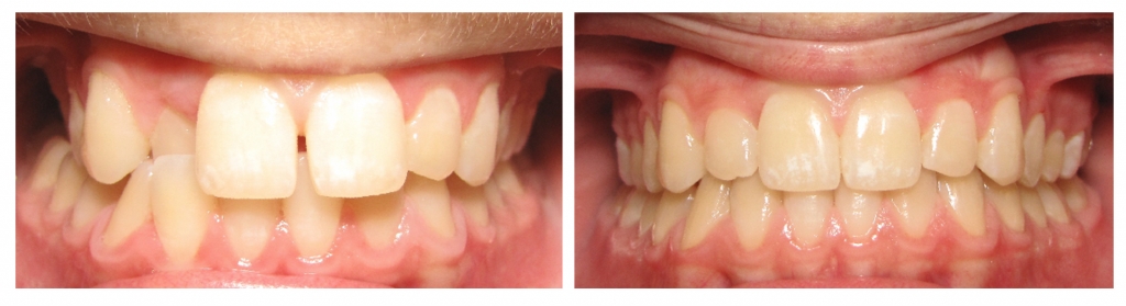
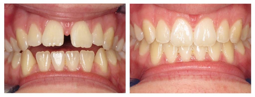
We do Invisalign better, faster, and for less money.
Dr. Hooks has completed countless hours of training and mentor programs to become one of the top Invisalign providers in the country. She is excited to be able to offer her expertise to treat patients in Western Pennsylvania, even though some patients have traveled as far as Texas and Florida because they trust her care. Because of her elite status with Invisalign, we receive volume discounts that we are happy to pass along to our patients so that everyone can affordably get the smile they’ve always wanted.










